Layouts: Popup Break Free from Tobacco – Take the First Step Towards a Healthier Life!…
Layouts: Popup (Oral Submucous Fibrosis – OSMF) Treatment for Inadequate Mouth Opening Oral Submucous Fibrosis…
Layouts: Popup – Immediate Relief When You Need It Most Emergency Dental Care Dental emergencies…
Layouts: Popup – Breathe Better, Sleep Peacefully Sleep Apnea & Snoring Treatment Snoring and sleep…
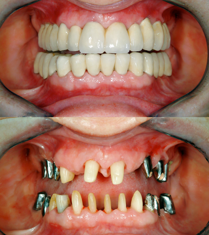
Layouts: Popup – Restore Your Smile & Confidence Full Mouth Rehabilitation Full Mouth Rehabilitation (FMR)…
