Laser Gum Treatment
Gum disease can lead to tooth loss, receding gums, and overall oral health deterioration. Laser Gum Treatment is a modern, minimally invasive procedure that effectively treats gum infections, reduces inflammation, and promotes faster healing without the discomfort of traditional surgery.
Why Choose Laser Gum Treatment?
✔ Pain-free and minimally invasive
✔ Faster healing with minimal bleeding
✔ Effective removal of bacteria causing gum disease
✔ Stimulates gum tissue regeneration
✔ No stitches, reducing post-treatment discomfort
Conditions Treated with Laser Gum Therapy:
🔹 Gingivitis & Periodontitis (Gum Disease) – Eliminates infection and promotes healthy gums.
🔹 Gum Recession – Encourages tissue regrowth and attachment to teeth.
🔹 Gummy Smile Correction – Reshapes gum line for a more aesthetic smile.
🔹 Frenectomy & Crown Lengthening – Improves gum structure and prepares for restorative work.
Have questions?
Get in touch!
We are here to ensure your smile stays healthy and beautiful! 😁 Whether you need a routine check-up, advanced dental treatment, or just have a query, feel free to reach out. 🦷 Our expert team is always ready to assist you with the best dental care. Your journey to a healthier smile starts here! ✨
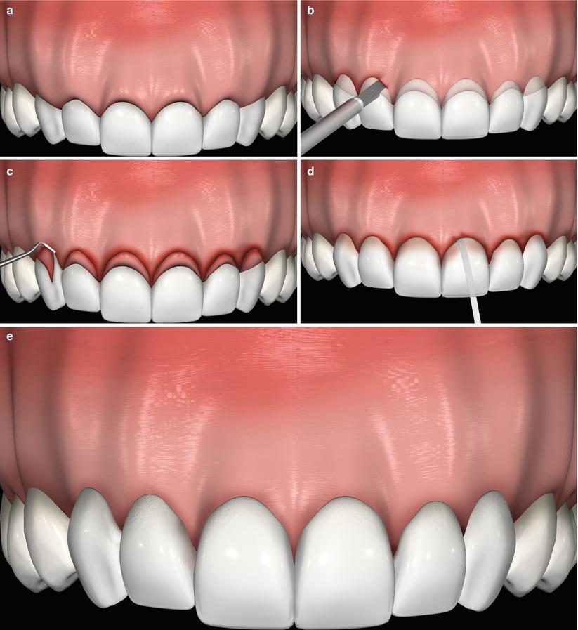
How Does Laser Gum Treatment Work?
🔹 Targeted laser energy removes infected tissue and bacteria.
🔹 Laser sterilization ensures a bacteria-free environment for faster healing.
🔹 Stimulates natural gum regeneration and prevents further damage.
Why Choose Tanushree Dental Care?
🔹 Advanced Laser Technology – Cutting-edge treatment for precise and painless care.
🔹 Expert Periodontal Care – Experienced specialists ensuring optimal gum health.
🔹 Comfortable & Safe – No incisions, no stitches, and minimal downtime.
📞 Book your consultation today! Experience the future of gum treatment with advanced laser technology.

