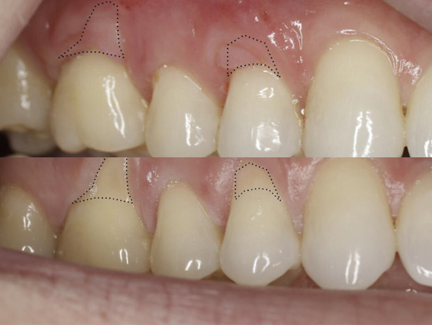
Gum Grafting
Gum recession can lead to tooth sensitivity, root exposure, and an increased risk of tooth loss. Gum Grafting is an effective procedure to restore lost gum tissue, enhance aesthetics, and protect your teeth from further damage.
Why is Gum Grafting Needed?
✔ Treats gum recession caused by periodontal disease, aggressive brushing, or genetics.
✔ Reduces tooth sensitivity by covering exposed tooth roots.
✔ Enhances smile aesthetics for a healthier and more even gum line.
✔ Protects teeth from decay and further gum deterioration.
Types of Gum Grafting Procedures
🔹 Connective Tissue Graft – The most common technique, used to cover exposed roots and restore lost gum tissue.
🔹 Free Gingival Graft – Ideal for strengthening thin gums and preventing further recession.
🔹 Pedicle Graft – Uses nearby gum tissue to cover exposed areas, ensuring better blood supply and healing.
🔹 Allograft (Donor Tissue Graft) – A non-invasive option using medically processed donor tissue for gum restoration.
Have questions?
Get in touch!
We are here to ensure your smile stays healthy and beautiful! 😁 Whether you need a routine check-up, advanced dental treatment, or just have a query, feel free to reach out. 🦷 Our expert team is always ready to assist you with the best dental care. Your journey to a healthier smile starts here! ✨
The Gum Grafting Procedure
🔹 Local anesthesia ensures a comfortable experience.
🔹 Gum tissue is placed and secured in the receding area.
🔹 Healing & recovery take a few weeks, leading to stronger, healthier gums.
Why Choose Tanushree Dental Care?
🔹 Expert Periodontists – Specialized care by experienced professionals.
🔹 Minimally Invasive Techniques – Advanced, comfortable procedures with quick recovery.
🔹 Long-Term Gum Health – Restores and maintains a healthy, beautiful smile.
📞 Schedule a consultation today! Restore your gums and protect your teeth with expert care at Tanushree Dental Care.

