Skip to content Skip to footer

Full Mouth Rehabilitation

– Restore Function & Aesthetics for a Healthier Smile!

Full Mouth Rehabilitation

 

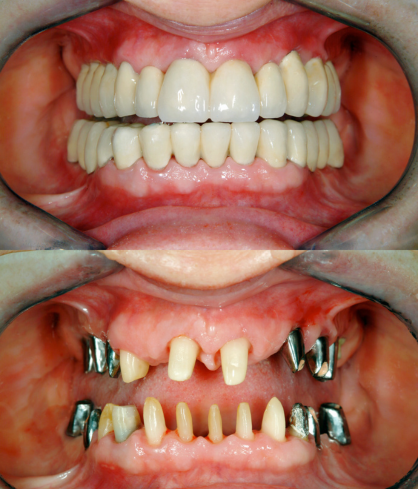
If you have multiple dental issues affecting your bite, teeth, and oral health, a Full Mouth Rehabilitation (FMR) at Tanushree Dental Care can restore your smile’s functionality, aesthetics, and confidence. Dr. Parth Shah & Dr. Tanvi Shah specialize in comprehensive, personalized treatment plans to address complex dental conditions with long-lasting and natural-looking results.

What is Full Mouth Rehabilitation?

 

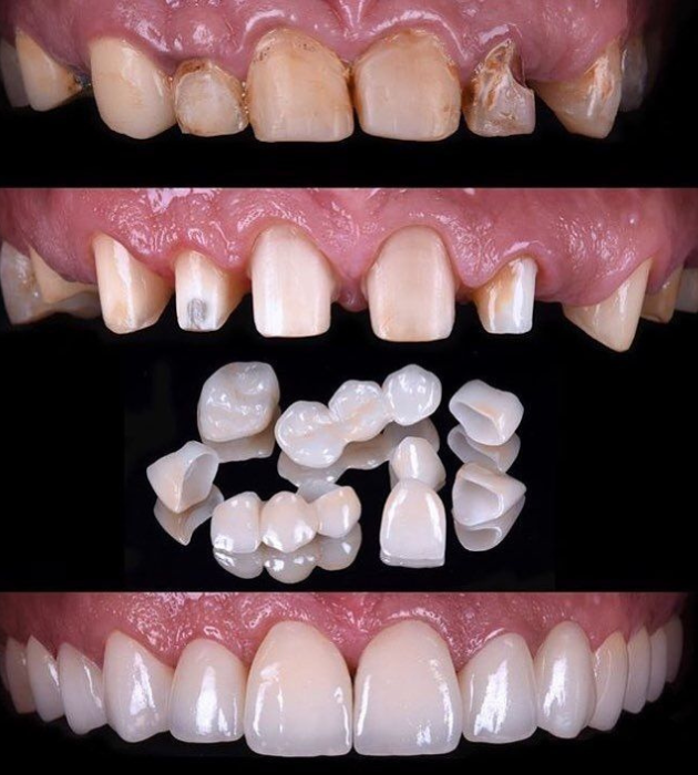
Full Mouth Rehabilitation is a combination of restorative and cosmetic dental treatments designed to rebuild and restore your entire dental structure, improving both function and appearance. It is ideal for patients experiencing:
🦷 Severely worn-down, broken, or missing teeth
🦷 Multiple dental cavities or decayed teeth
🦷 Bite misalignment causing jaw pain or TMJ disorders
🦷 Gum disease or bone loss affecting dental stability
🦷 Difficulty chewing or speaking due to dental problems

Full Mouth Rehabilitation
Full & Partial Dentures

Customized Full Mouth Reconstruction Solutions

Dental Crowns & Bridges – Strengthen and replace damaged or missing teeth
Dental Implants – Permanent solutions for missing teeth
Root Canal Treatment (RCT) – Treats infected teeth while preserving them
Teeth Whitening & Smile Designing – Enhances the appearance of your smile
Gum Therapy & Contouring – Improves gum health and aesthetics
Orthodontics (Braces or Clear Aligners) – Corrects bite issues and misalignment
Full & Partial Dentures – Restores missing teeth for proper function

Contact Us

Have questions?
Get in touch!

We are here to ensure your smile stays healthy and beautiful! 😁 Whether you need a routine check-up, advanced dental treatment, or just have a query, feel free to reach out. 🦷 Our expert team is always ready to assist you with the best dental care. Your journey to a healthier smile starts here! ✨

208,209,TRINNITY BUSINESS PARK, OPPOSITE MADHUBAN CIRCLE ,STAR BAZAAR CROSS ROAD LP SAVANI ROAD

Improves overall oral function, including chewing and speech
Corrects bite alignment to prevent jaw pain and discomfort
Enhances smile aesthetics for a youthful and confident appearance
Prevents further dental deterioration with long-term solutions
Uses advanced technology for precision and comfort

1️⃣ Comprehensive Dental Evaluation – Digital X-rays, scans, and a detailed oral health assessment
2️⃣ Personalized Treatment Plan – A customized combination of treatments for complete restoration
3️⃣ Step-by-Step Restoration – Progressive treatment approach ensuring optimal results
4️⃣ Final Adjustments & Maintenance Plan – Long-term care guidance for a lasting, healthy smile

At Tanushree Dental Care, we are dedicated to restoring your oral health and smile aesthetics with expert precision and compassionate care.